
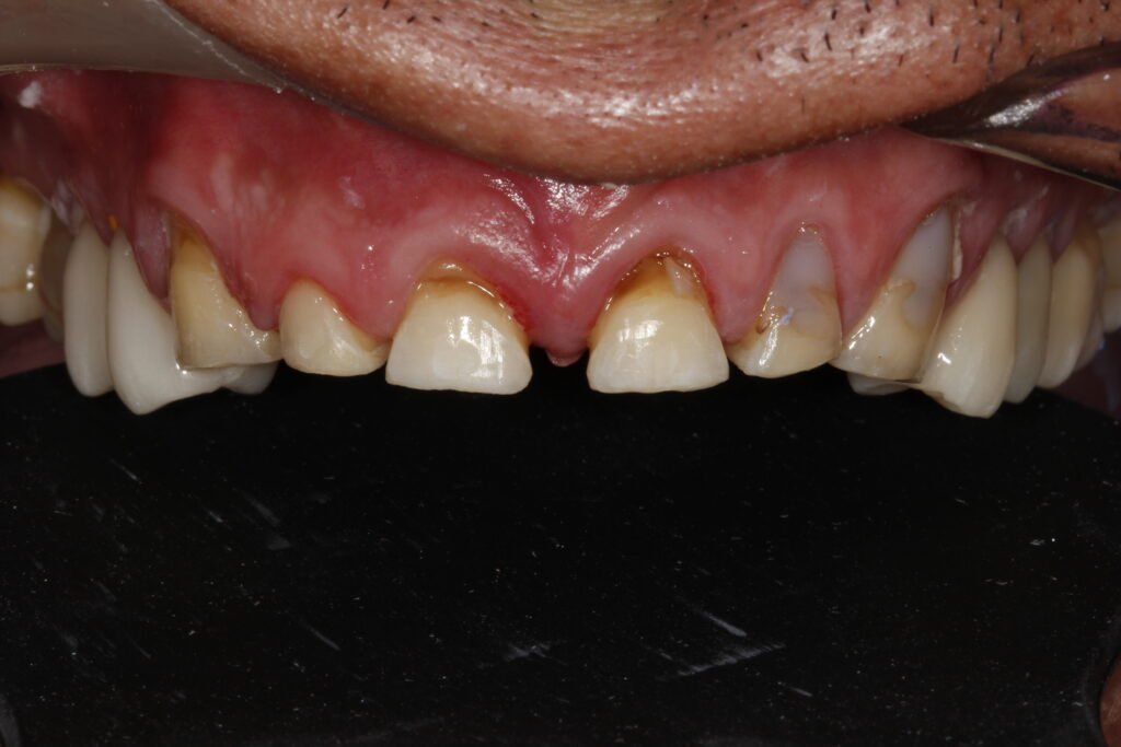
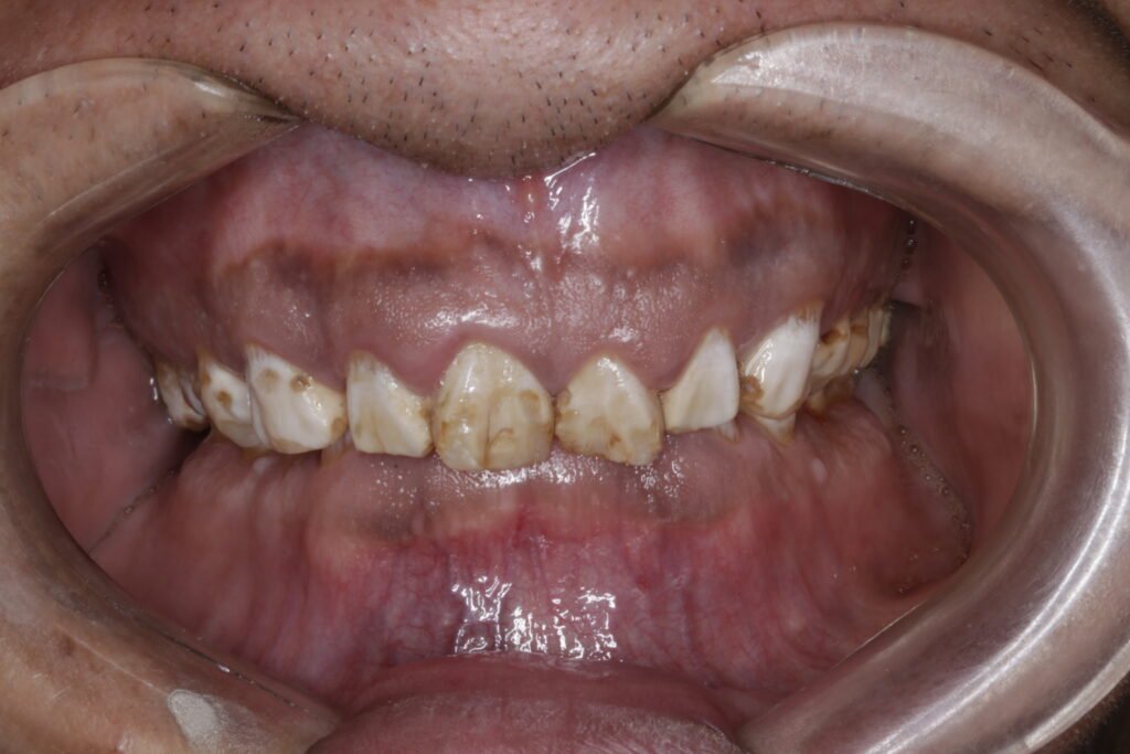
Tratamiento mínimamente invasivo de alta estética realizado en materiales libres de metal biocompatibles que mejoran no solo el tono natural de sus dientes, sino que también, mejora su forma y en muchas ocasiones su función. Obteniendo un tratamiento integral donde no solo se impacta la sonrisa, también se impacta el autoestima y bienestar general.
El desgaste es conservador, mínimo y selectivo ya que lo que se busca es mantener la mayor cantidad de estructura dental y que la carilla o lente cerámico sea lo más delgada posible para que no exista alteración alguna.






