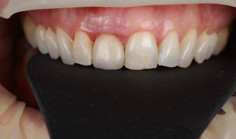
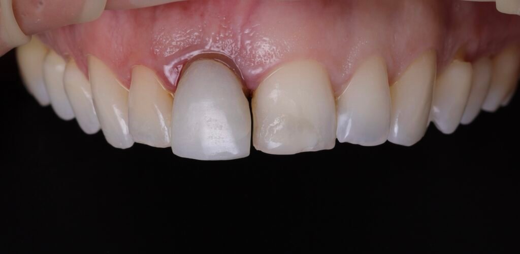
Implante Dental

icon01 free img.png

La mejor alternativa para la sustitución de uno o más diente que se han perdido. Es un procedimiento mínimamente invasivo realizado bajo una planeación digital mediante el uso de software de ultima generación que favorece a la colocación del implante específicamente con la angulación y distancia necesaria para que entre en función.

El implante es un dispositivo de titanio grado médico biocompatible que simula la raíz dental que sostiene a la corona.

Dentro de sus principales ventajas, destacan: comodidad, higiene, función y estética.