
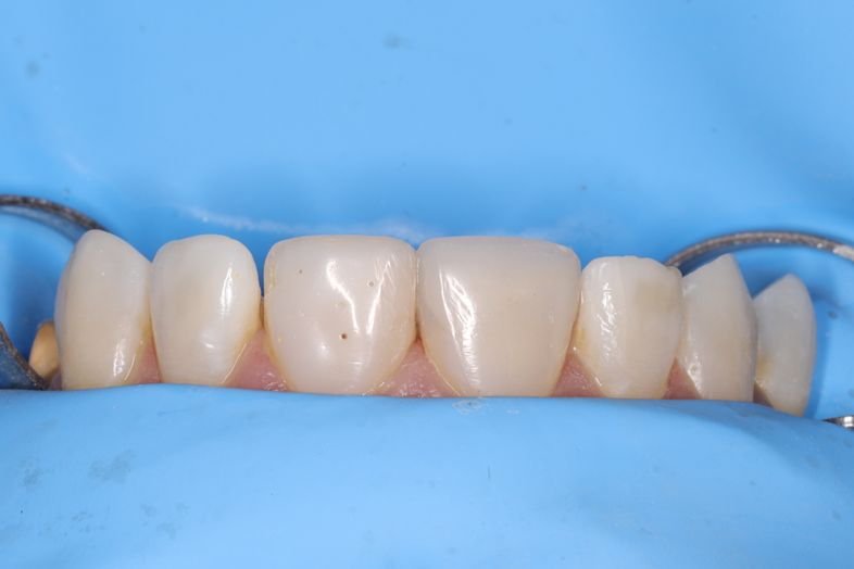
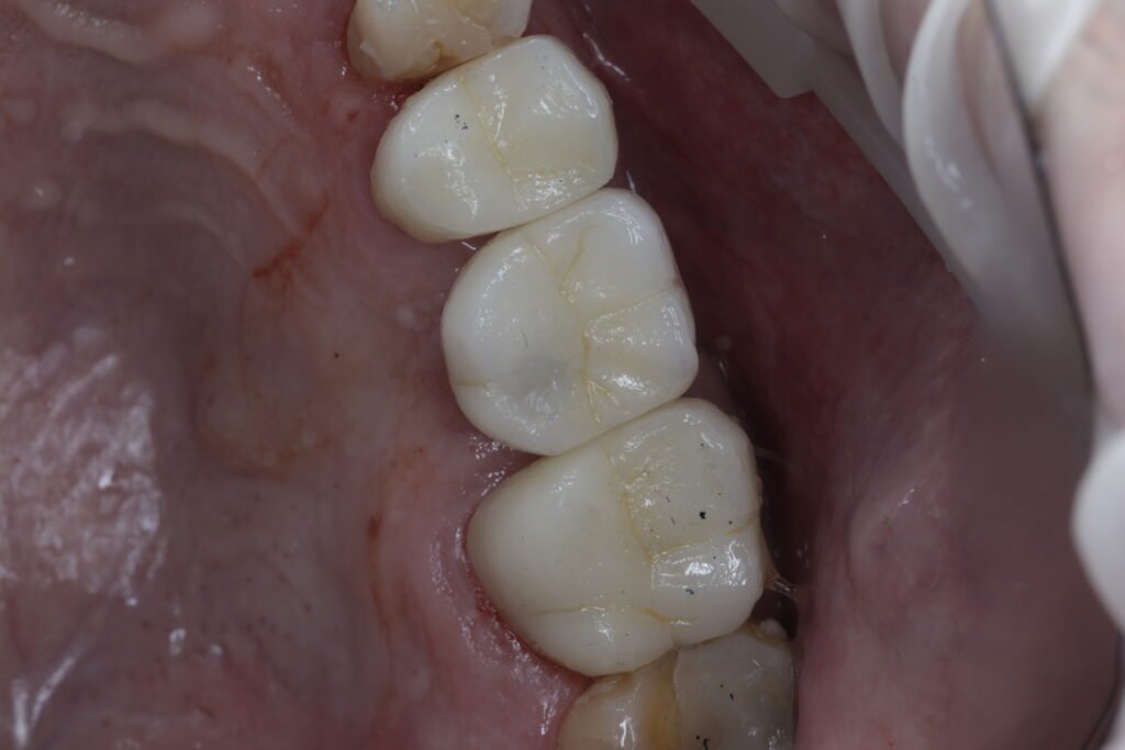
La odontología restauradora se enfoca en recuperar la función, salud y estética de los dientes que han sido dañados por caries, fracturas o desgaste. A través de tratamientos como resinas, incrustaciones y reconstrucciones dentales, es posible devolver al diente su forma y resistencia natural.
Utilizando materiales modernos y técnicas precisas, estos procedimientos permiten restaurar tu sonrisa de manera duradera y estética, ayudando a mantener una correcta función al masticar y prevenir problemas dentales futuros.








